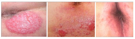
安徽治疗肛门湿疹哪家医院好?肛门湿疹是一种不传染的皮肤病。患病后以肛门部有渗出、丘疹和瘙痒为主要症状。有的肛门周围可出现丘疹、红斑、糜烂、结痂、脱屑。患病时间的肛门周围皮肤可增厚、变得很粗糙,呈暗红或灰黑色,就像苔癣一样。有的肛门缘还会裂开口子,使瘙痒变得更加厉害或出现疼痛。那么,如何肛门湿疹呢?

选择大于努力——中西结合治湿疹,祛湿解毒抗复发
只有选对医院,找对医师,选好技术,才能让你真正的告别湿疹困扰。而在安徽可以治疗湿疹的医院有众多,很多患者不知道如何选择。无数事实告诉我们,要治好湿疹,找一家专业正规的医院才是正道!合肥淮大皮肤病医院是安徽地区大型中医特色皮肤病专科医院,院内将湿疹列为重点诊疗对象,特开设湿疹专科门诊,倡导湿疹规范化治疗,受到患者的一致好评!
学术科研—疗效
看一家医院的实力怎么样,学术地位是衡量的重要指标。合肥淮大皮肤病医院是一家正规的皮肤病专科医院,曾多次受邀参加国内外学术会议。“中药净肤熏蒸脱敏疗法”在参加2015新技术推广大会中得到原卫生部部长孙隆椿及同行高度好评和认可。


“中药净肤熏蒸脱敏疗法”治疗湿疹的原理
中药祛除体内湿毒,结合生物共振技术,通过纳米萃取的绿色脱敏制剂,快速脱敏,同时利用纳米光波导融定位渗透脱敏治疗,消炎脱敏,修复受损表皮,增强表皮微循环和抵抗力。治疗当天就能止痒,快速康复湿疹。
1、过敏原检测:国外先进过敏原检测仪,不抽血检测多种过敏原,彻查病因,当天即可出结果,不痛苦;

2、传统汉方去湿毒:将体内郁结的风湿热毒迅速瓦解排除,排毒祛风,养血培元,提高机体免疫;

3、生物制剂脱敏:采用生物学技术,结合汉方脱敏剂,清除皮肤细胞过敏记忆,汉方独有的粘膜修复因子开始修复受损皮肤细胞;

4、光波导融修复:纳米光化治疗消炎修复,快速修复病变的组织和受损细胞,双向免疫调节,疏通病灶微循环,恢复机体功能,增强皮肤细胞分化,重建皮肤屏障,清除色素。

治疗康复对比图

医师亲诊—助疗效
主任主任医师,知名中医专家,毕业于华西医科大学临床医学系,原中国人民解放军第四十四医院皮肤科主任、安徽市第三人民医院皮肤科主任,中华医学会皮肤科学会委员。擅长运用名老中医、众多专家的验方、祖传秘方及科研成果,为患者量身订制湿疹治疗方案,并以疗效好、疗程短深受患者青睐。从医30余年,以其精湛的技术、高尚的医德,赢得广大患者的一致好评。

主任主任医师曾多次受邀参加院内或院外大小型皮肤病学术交流会议,积极吸取新知识,不断提升自我。
四、治肛门湿疹,市民首选合肥淮大皮肤病医院
合肥淮大皮肤病医院发展至今,已成为安徽及周边地区口碑相传的好医院,是安徽地区规模最大的皮肤病专科医院,是国际皮肤病学诊疗新技术推广定点单位,曾被原卫生部副部长孙隆椿题词,每天都有很多肛门湿疹患者从各地慕名而来。他们在合肥淮大皮肤病医院治疗之后,都已经康复,至今没有一例复发。
就诊需知:
1、我院就诊患者较多,请提前网上预约挂号。网络预约,优先就诊,免排队。
2、接诊时间:早8:00点—晚17:30点(节假日不休)