肛门湿疹的症状有哪些?亲爱的患者朋友们,我知道您也许正遭受肛门湿疹的困扰,想了解肛门湿疹的具体症状有哪些。下面,就有请合肥淮大皮肤病医院专家对此做个详细介绍吧!
肛门湿疹的症状有哪些?

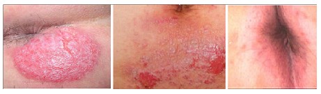
1、瘙痒:它是肛门湿疹的主要症状。呈阵发性奇痒,搔抓局部后,可使皮肤破损而痛痒加剧;瘙痒难忍时,可影响学习、工作、睡眠等。
2、肛门潮红:肛门皮肤因湿润、摩擦或搔抓,使肛周皮肤或皮肤皱襞呈淡粉红色、水肿。
3、肛门湿润:渗出可引起肛门湿润不适,内裤污染和皮肤磨损。
4、疼痛:肛门周围皮肤因搔抓破溃,可导致皲裂、感染,常发生肛门疼痛和排便时疼痛。
5、其他:即肛门湿疹除了有其特征外,还可引起消化不良、腹胀、便秘和腹泻、头晕、失眠、烦躁等症状。
肛门湿疹危害 需引起重视

治疗肛门湿疹 科学治疗很重要
国际认可——疗效更突出
合肥淮大皮肤病医院是“中药净肤熏蒸脱敏疗法”技术在全国人大会议中心得到卫生部部长孙隆椿及国际医学学者高度认可和赞扬。并获得“国际皮肤病学诊疗新技术推广定点单位”。

“中药净肤熏蒸脱敏疗法”治疗湿疹的原理
中药祛除体内湿毒,结合生物共振技术,通过纳米萃取的绿色脱敏制剂,快速脱敏,同时利用纳米光波导融定位渗透脱敏治疗,消炎脱敏,修复受损表皮,增强表皮微循环和抵抗力。治疗当天就能止痒,快速康复湿疹。
1、过敏原检测:国外先进过敏原检测仪,不抽血检测多种过敏原,彻查病因,当天即可出结果,不痛苦;
2、传统汉方去湿毒:将体内郁结的风湿热毒迅速瓦解排除,排毒祛风,养血培元,提高机体免疫;
3、生物制剂脱敏:采用生物学技术,结合汉方脱敏剂,清除皮肤细胞过敏记忆,汉方独有的粘膜修复因子开始修复受损皮肤细胞;
4、光波导融修复:纳米光化治疗消炎修复,快速修复病变的组织和受损细胞,双向免疫调节,疏通病灶微循环,恢复机体功能,增强皮肤细胞分化,重建皮肤屏障,清除色素。
好专家 好疗效
众所周知,看病就是看名医!合肥淮大皮肤病医院由淮大总院长吕忠生领衔,汇聚原医大附院、省立医院知名专家,主任医师湿疹诊疗经验均在30年以上。在治疗肛门湿疹方面,皮肤科专家们积极发掘中国中医中药医学宝库,并结合现代西方医学的先进成果,运营中西医结合来弥补了单一技术治疗的不足,对于各种类型的湿疹治疗由表及里,标本兼顾。

合肥淮大皮肤病医院 全国皮肤病专科连锁品牌
合肥淮大皮肤病医院是国内重点皮肤病专科医院、疑难皮肤病康复基地。建院至今,始终坚持“中医为本、西医为用,中西结合”的诊疗原则。多次特邀出席国际技术探讨会议,如亚太皮肤科学论坛、诺贝尔医学峰会、国际皮肤病学诊疗新技术推广大会等,获得卫生部原副部长孙隆椿亲笔题词。

温馨提示:肛门湿疹的治疗不能盲目,切勿盲目用药,以免耽误治疗时机,让病情的加重给自身健康造成更大的危害。合肥淮大皮肤病医院是全国皮肤病专科连锁品牌,自建院以来只专注于皮肤疾病的诊断和治疗,因此更专业。有问题找专家点击在线咨询了解详情。